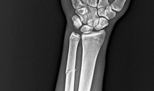
Trabzonspor, dün akşam RAMS Başakşehir ile oynanan Ziraat Türkiye Kupası çeyrek final karşılaşmasında sakatlanarak oyundan çıkan forvet oyuncusu Paul Onuachu'nun sol kolunda darbeye bağlı kırık tespit edildiğini açıkladı.RAMS Başakşehir ile oynanan karşılaşmada mücadele sırasında sakatlanarak oyundan alınan Onuachu'nun sağlık durumu ile ilgili kulübü Trabzonspor bir açıklama yaptı. Yapılan açıklamada, "Futbol A takımımızın Başakşehir ile oynadığı karşılaşma esnasında sakatlanarak oyundan çıkan futbolcumuz Paul Onuachu'nun yapılan muayenesinde sol kasık bölgesinde kas (adduktor kas grubu) yaralanması ve sol ön kolda darbeye bağlı ayrışmamış kemik (ulna) kırığı tespit edilmiştir. Oyuncumuzun tedavisine sağlık ekibimizce başlanmıştır. Oyuncunun sahalardan ne kadar süre uzak kalacağı yapılacak tedavinin ardından belli olacak" ifadelerine yer verildi.
İHA
İHA









